FETAL MRG NEDİR?
Fetal MR Nedir?
Fetal Manyetik Rezonans Görüntüleme (MR), özellikle beyin ve omurilik başta olmak üzere bebeğin gelişimini değerlendirmede kullanılan ileri düzey bir görüntüleme yöntemidir. Ultrason, gebelik takibinde temel bir araç olsa da, özellikle fetal beynin detaylı yapılarının görüntülenmesinde yetersiz kalabilir. Fetal MR, bu boşluğu dolduran, non-invaziv, güvenli ve yüksek çözünürlüklü bir görüntüleme sunar.
Ultrasonla saptanamayan ya da netleştirilemeyen bulguların ayrıntılı incelenmesini sağlar. Bu sayede, fetal beyin gelişimine dair doğumsal anomalilerin erken tanısı mümkün hale gelir.
Fetal MR Ne Zaman Gereklidir?
Fetal MR genellikle şu durumlarda önerilir:
Ultrasonda Şüpheli Bulgular: Özellikle fetal beyin yapılarının net görülemediği veya anomali şüphesi taşıyan durumlarda.
Yüksek Riskli Gebelikler: İkiz gebelik komplikasyonları, doğuştan kalp hastalığı gibi durumlar fetal beyin gelişimini etkileyebilir.
Ailevi Risk Faktörleri: Nörogelişimsel bozukluk öyküsü olan ailelerde, ultrasonda sorun görülmese bile fetal MR önerilebilir.
Her durum özeldir. Fetal MR’ın sizin için gerekli olup olmadığını kadın doğum uzmanınız ya da perinatoloğunuzla görüşerek netleştirebilirsiniz.
Fetal MR Nasıl Uygulanır?
Fetal MR, deneyimli bir teknisyen eşliğinde ve fetal görüntüleme konusunda uzman bir radyologun yorumuyla gerçekleştirilir. İzmir’de Öztekin Kadın Sağlığı Kliniği olarak, fetal MR’ı detaylı planlama ve konforlu bir ortamda gerçekleştirmekteyiz.
Fetal MR’a Nasıl Hazırlanmalıyım?
Açlık: Fetal hareketleri azaltmak amacıyla çekimden 3–4 saat önce yemek yememeniz önerilir. Ancak bebeğinizin açlıkta daha fazla hareket ettiğini biliyorsanız, rutininizi buna göre ayarlayabilirsiniz.
Mesane Durumu: Fetal MR için idrar torbasının dolu olması gerekmez, tam tersine mesanenin boş olması daha konforlu bir çekim sağlar.
Kıyafet ve Rahatlık: Rahat giysiler giyinmeniz önerilir. MR sırasında gevşemeniz bebeğin hareketini azaltarak görüntü kalitesini artırır. Müzik dinlemek isterseniz kulaklıkla dinleyebileceğiniz favori bir müziği yanınızda getirebilirsiniz.
Fetal MR Sırasında Neler Olur?
MR teknisyeni sizi MR odasına alır ve cihazın içine yatırır.
Genellikle sırt üstü yatmanız istenir; ancak bu pozisyon sizi rahatsız ederse, yan pozisyon da mümkündür.
Karın bölgenize özel bir yastık yerleştirilir ve kulak tıkaçları ya da kulaklık verilir.
MR sırasında bazı anlarda nefes tutmanız istenebilir.
İşlem genellikle 30–45 dakika sürer. İkiz gebeliklerde bu süre uzayabilir.
Sizi strese sokabilecek hiçbir durumu zorunlu kılmıyoruz. Konforunuz önceliğimizdir.
Sonuçlar Ne Zaman Çıkar?
Fetal MR görüntüleriniz, fetal MR konusunda deneyimli bir pediatrik nöroradyolog tarafından değerlendirilir. Bulgular genellikle aynı gün içinde raporlanır. Sonuçlarınızı sizi yönlendiren doktorunuzla görüşerek alabilirsiniz.
Öztekin Kadın Sağlığı Kliniği’nde Fetal MR Deneyimi
Prof. Dr. Özgür Öztekin, fetal görüntüleme alanında uluslararası deneyime sahip, pediatrik nöroradyoloji alanında uzman bir hekimdir. Fetal MR değerlendirmeleri, bilimsel rehberler doğrultusunda, en ileri görüntüleme cihazları ile yapılır. Her gebelik, detaylı ve özenli bir şekilde değerlendirilir.
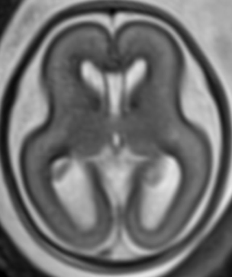
Santral Sinir Sistemi
Anne karnındaki bebeğin beyin gelişimi çok karmaşık ve hassas bir süreçtir. Rutin ultrasonda fark edilen bazı bulguların daha ayrıntılı değerlendirilmesi gerektiğinde, fetal MRG (manyetik rezonans görüntüleme) devreye girer.
Fetal MRG ile:
Beyin boşluklarındaki sıvı artışı (ventrikülomegali)
Beyincik veya beyin sapındaki yapısal bozukluklar
Beyin kıvrımlarındaki gelişimsel farklılıklar
gibi durumlar net şekilde görüntülenebilir. Bu sayede bebeğinizin doğum sonrası ihtiyaç duyabileceği tıbbi destekler planlanabilir.


Omurga ve Omurilik
Anne karnındaki bebeğin omurgasında veya omurilik yapısında bir anormallikten şüphelenildiğinde, fetal MRG (manyetik rezonans görüntüleme), bu yapıları detaylı bir şekilde değerlendirmek için son derece etkili ve güvenli bir yöntemdir.
Bazı omurga anomalileri, sadece doğum öncesi değil, doğum sonrasında da çocuğun yaşam kalitesini etkileyebilecek önemli sorunlara yol açabilir. Bu nedenle erken ve doğru tanı, gebelik takibinden doğum planlamasına, hatta doğum sonrası tedaviye kadar tüm süreci olumlu etkiler.
- Omurilik açıkta mı? (Açık spina bifida / açık spinal disrafizm)
- Kapalı omurga anomalileri (kapalı spinal disrafizm) var mı?
- Omurilikte kitle, baskı ya da sıkışma söz konusu mu?
- Omurga kemiklerinde şekil bozuklukları var mı? (örneğin yarım omur veya birleşik omurlar)
- Kuyruk sokumu bölgesinde kitle ya da tümör var mı? (sakrokoksigeal teratom)

En Sık Görülen Omurga Anomalileri:
- Spinal disrafizm (omuriliğin gelişimsel bozuklukları)
- Açık disrafizm: Doğumda acil cerrahi gerekir. Bazı merkezlerde anne karnında ameliyat da yapılabilmektedir.
- Kapalı disrafizm: Cilt altında kitleli veya kitlesiz olabilir, bazen dışarıdan fark edilmez.
- Omurga kemiklerinde şekil bozuklukları
- Yarım omur (hemivertebra)
- Kelebek omur (butterfly vertebra)
- Blok omur (segmentasyon anomalisi)
- Sakrokoksigeal teratom (SCT)
- En sık görülen fetal pelvik kitle türüdür. Gidişatı değişkendir; bazı olgular doğumdan önce müdahale gerektirebilir.
Toraks ve Akciğer
Lorem ipsum dolor sit amet, consectetur adipiscing elit. Maecenas id est sed lacus volutpat lobortis. Lorem ipsum dolor sit amet. Going to use a passage of Lorem Ipsum, you need to be sure there isn’t anything embarrassing hidden in the middle of text.
- Pregnancy Care
- NICU Facilities
- Trisemester Care
- Maternal Practise
- Things to Know
- Are you Pregnant?
- Symptom Checker
- About Lab Tests you need
- Medical Treatment
- About Getting Emergency


Lorem ipsum dolor sit amet, consectetur adipiscing elit. Maecenas id est sed lacus volutpat lobortis. Lorem ipsum dolor sit amet. Going to use a passage of Lorem Ipsum, you need to be sure there isn’t anything embarrassing hidden in the middle of text.
- Pregnancy Care
- NICU Facilities
- Trisemester Care
- Maternal Practise
- Things to Know
- Are you Pregnant?
- Symptom Checker
- About Lab Tests you need
- Medical Treatment
- About Getting Emergency